Artsenteam MKA zet in op 3D-verhaal
24 oktober 2023
Digitale evolutie MKA
Lees hier meer
ICL-voorzetlenzen: een veilig alternatief voor ooglaseren
24 oktober 2023
Implanteerbare collameerlens
Lees hier meer
Nieuwe variant bij posterosuperieure cuff scheuren: lower trapezius transfer
23 oktober 2023
Types en behandelingen rotator cuff scheuren
Lees hier meer
Eerstelijns psychologische zorg (ELP) in AZ Sint-Maarten
23 oktober 2023
ELA en ELP perinatale mentale gezondheid
Lees hier meer
Nieuw logo geeft vijf jaar AZ Sint-Maarten op huidige locatie extra kleur
23 oktober 2023
Over symboliek achter het logo
Lees hier meer
AZ Sint-Maarten gaat met contrast-mammografie opnieuw een stap verder bij de diagnose en screening van borsttumoren
27 april 2023
Contrast enhanced spectral mammografie’ of CESM
Lees hier meer
Minder bijwerkingen bij behandeling goedaardige prostaatvergroting met HoLEP-techniek
27 april 2023
Behandeling plasklachten als gevolg van goedaardige prostaatvergroting
Lees hier meer
Spine unit AZ Sint-Maarten
27 april 2023
Over
Lees hier meer
AZ Sint-Maarten erkend als cardiaal revalidatiecentrum
27 april 2023
Multidisciplinaire aanpak van revalidatie
Lees hier meer
PAD: Socio-reva
25 april 2023
Dagbehandeling voor volwassenen met psychiatrische problematiek
Lees hier meer
Dienst radiotherapie-oncologie breidt uit met nieuwe lineaire versneller
15 maart 2023
Lineaire versneller voor bestraling van tumoren
Lees hier meer
AZ Sint-Maarten evalueert rijveiligheid bij senioren in Centrum Samen Veilig Mobiel
9 maart 2023
Evaluatie rijveiligheid van oudere bestuurder
Lees hier meer
Introgroep onderdeel van nieuwe aanmeldprocedure PAD De Welving
1 maart 2023
Volwassenen met problematisch middelengebruik
Lees hier meer
Geldige e-ID-lezing verplicht voor patiënten
3 januari 2023
Elektronische inschrijving en identificatie
Lees hier meer
Nieuwe software voor dienst spoedgevallen
15 november 2022
Digitalisering patiënteninformatie met KWS
Lees het artikel
Artsen medische beeldvorming, specialiteit senologie, verwerken ervaring met meer dan 4.000 onderzoeken met ABUS-techniek in wetenschappelijke publicatie
27 oktober 2022
Automated Breast Ultrasound System
Lees het artikel
AZ Sint-Maarten test als eerste niet-universitaire ziekenhuis de single-use duodenoscoop
19 oktober 2022
Endoscopisten gebruiken dit toestel voor ERCP-procedures
Lees het artikel
Vijf consulenten begeleiden stomapatiënten via opvolgtraject
19 oktober 2022
Opvolging in weken en maanden na operatie
Lees het artikel
Eerste ziekenhuis wereldwijd met slimme lamp voor valdetectie en -preventie
14 oktober 2022
Nobi-lamp voor valdetectie en -preventie
Lees het artikel
Radiologe breidt expertise borstkliniek uit met prestigieus diploma borstbeeldvorming
13 oktober 2022
Diploma borstbeeldvorming vanwege The European Society of Breast Imaging (EUSOBI)
Lees het artikel
Start multidisciplinaire consultatie complexe wervelkolomproblematiek
5 mei 2022
Verbetering zorg voor patiënten met een complexe wervelkolomproblematiek
Lees het artikel
Raadpleging psychiatrie: meer ruimte voor acute vragen
23 februari 2022
Snelle doorverwijzing en ruimte voor specifieke zorgvragen
Lees het artikel
Verdere uitbouw luik ‘zorginformatie’
22 februari 2022
Deelsites met patiënteninformatie
Lees het artikel
Dr. Giacalone ontwikkelt 30 micron-naald voor behandeling van de kleinste lymfevaten
22 februari 2022
Verbinding van de kleinste lymfevaten met de aders
Lees het artikel
Ook de dienst abdominale heelkunde gestart met robotchirurgie
16 februari 2022
Complexe darmchirurgie in het kleine bekken
Lees het artikel
Schouderprothese: onbekend en onbemind
19 oktober 2021
Over indicaties, vernieuwingen en 3D-planning
Lees het artikel
Maak online een afspraak voor uw patiënt
19 oktober 2021
Stappenplan van nexuzhealth.pro
Lees het artikel
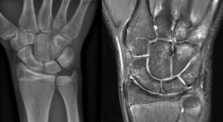
AZ Sint-Maarten opnieuw actief in ‘SOS Hand’
19 oktober 2021
Wachtdienst van gespecialiseerde handchirurgen in provincie Antwerpen
Lees het artikel
AZ Sint-Maarten ontwikkelt techniek voor behandeling van ‘lekkende’ lymfocoele in oksel
7 oktober 2021
Multidisciplinaire oplossing voor postoperatieve lymfelekkage
Lees het artikel
Uitbreiding slaapcentrum AZ Sint-Maarten
5 oktober 2021
Aangepast slaapcentrum comfortabeler voor patiënt en zorgverlener
Lees het artikel
“Dokter, ik heb pijn bij het vrijen.”
4 augustus 2021
Multidisciplinaire aanpak van vaginisme
Lees het artikel
AZ Sint-Maarten Obesitascentrum: een multidisciplinaire aanpak van obesitas
4 augustus 2021
Multidisciplinaire aanpak van obesitas
Lees het artikel
AZ Sint-Maarten tilt longchirurgie en abdominale heelkunde niveau hoger met infrarood-fluorescentie
14 april 2021
Over SynergyID, Near-Infrared Fluorescence Imaging-systeem van Arthrex
Lees het artikel
Efficiëntere workflow en betere beeldkwaliteit dankzij upgrade MRI-toestel
14 april 2021
Upgrade naar een MAGNETOM Solafit-toestel
Lees het artikel
Blijf niet met uw klachten zitten
14 april 2021
De ombudsfunctionaris
Lees het artikel